You are here
ΠΡΩΤΟΠΟΡΙΑΚΗ ΕΠΕΜΒΑΣΗ ΑΠΟΚΑΤΑΣΤΑΣΗΣ ΑΚΡΩΤΗΡΙΑΣΜΕΝΟΥ ΑΝΩ ΑΚΡΟΥ - Γράφει ο DR. ΠΟΛΥΒΙΟΣ Μ. ΠΑΥΛΙΔΗΣ MD PHD MSc - Αγγειοχειρουργός
Ο Δρ Horst-H. Aschoff πλαστικός χειρουργός, ο Δρ Πολύβιος Παυλίδης αγγειοχειρουργός και ο Δρ Βασίλειος Παπαγεωργίου, πλαστικός χειρουργός προέβησαν σε επιτυχημένη αποκατάσταση ακρωτηριασμένου άνω άκρου στην κλινική Sana στο Lübeck Γερμανίας. Η εγχείρηση έλαβε χώρα τον Ιούνιο του 2016 χρησιμοποιώντας την πρωτοποριακή μέθοδο του ενδο-εξω εμφυτευτικού συστήματος η οποία βελτιώνει εκθετικά την κίνηση του προσθετικού άκρου και τελικά την ποιότητα ζωής του ασθενή.
Τον Ιούνιο του 2015, μετά από ατύχημα με μηχανή, ο 22άχρονος αναβάτης μεταφέρθηκε στο Νοσοκομείο Ερυθρός Σταυρός με ρήξη σπλήνας 4ου βαθμού και σοβαρότατο τραυματισμό του αριστερού χεριού στο βραχίονα. Η διάσωση της ζωής του άτυχου νέου, πέρα από την σπληνεκτομή, επέβαλε τον ακρωτηριασμό του χεριού λίγο πιο κάτω από το ύψος του ώμου.
Με την ολοκλήρωση της μετεγχειρητικής θεραπείας, ο ασθενής δοκίμασε ένα παραδοσιακού τύπου τεχνητό χέρι, υποφέροντας παρ’ όλα αυτά από την περιορισμένη κινητικότητα του ώμου, την ανικανότητα ανεξάρτητου χειρισμού του προσθετικού μέλους και την μη ικανοποιητική στερέωσή του. Η επαγγελματική και ψυχοκοινωνική επανένταξη του ασθενή παρουσίασε σημαντικές δυσκολίες. Όπως περιέγραφε ο ίδιος «αυτό δεν είναι το άκρο μου, φορώ κάτι ξένο, κάτι παράξενο, που είναι δεμένο πάνω μου».
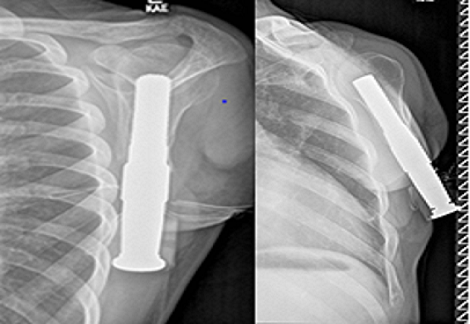
Κατόπιν επαφής του νέου με την κλινική Sana, αποφάσισε να δοκιμάσει την πρόσθεση «ενδο-εξω εμφυτευτικού» συστήματος. Η μέθοδος αυτή έχει καθιερωθεί ως εναλλακτική επιλογή αποκατάστασης κάτω άκρων έχοντας προσφέρει θεαματικά βελτιωμένη κίνηση και άνεση σε περίπου 200 περιπτώσεις ασθενών. Παρ’ όλα αυτά ο συγκεκριμένος ασθενής είναι μόλις ο τέταρτος παγκοσμίως που προέβη στην εφαρμογή της παραπάνω μεθόδου σε άνω άκρο. Η περίπτωσή του μάλιστα ήταν ιδιαίτερη λόγω του πολύ κοντού εναπομείναντος βραχίονα, κατόπιν του ακρωτηριασμού.
Σε πρώτη φάση ένα στέλεχος από κράμα μετάλλων εμφυτεύθηκε στο οστό το οποίο, αφού ενσωματώθηκε, αποτέλεσε τη βάση για να συνδεθεί ένα εξωτερικό διαδερμικό μέλος. Το τεχνητό χέρι μπορεί πλέον να προστίθεται ή να αφαιρείται με άνεση από το διαδερμικό μέλος. Μετά από μετεγχειρητική νοσηλεία μόλις 7 ημερών, ο νέος εξήλθε από την κλινική απόλυτα ικανοποιημένος δηλώνοντας ότι «το αισθάνομαι σαν το χέρι μου τώρα». Πράγματι, η μέθοδος έχει σχεδιαστεί προκειμένου ο ασθενής, πέρα από τη βελτίωση της κίνησης, να ανακτά την αντίληψη του ίδιου του χεριού του.
Η μέθοδος του «ενδο-εξω εμφυτευτικού» συστήματος πρόσθεσης μπορεί να προσφέρει στους ακρωτηριασμένους ασθενείς σαφέστατα καλύτερη ποιότητα ζωής. Το σημαντικότερο όμως είναι ότι ο συνδυασμός του εμφυτεύματος με τη σταδιακή εξέλιξη των ενδομυϊκών ηλεκτροδίων σύντομα θα προσφέρει στους ασθενείς την προοπτική ενός πλήρως λειτουργικού χεριού.
DR. ΠΟΛΥΒΙΟΣ Μ. ΠΑΥΛΙΔΗΣ MD PHD MSc
Αγγειοχειρουργός
Λοχαγού Φανουράκη 22 και Αμμοχώστου 85100 Ρόδος
Τηλ. 6973023916, 2241770444
Email: pavlidispol@gmail.com













